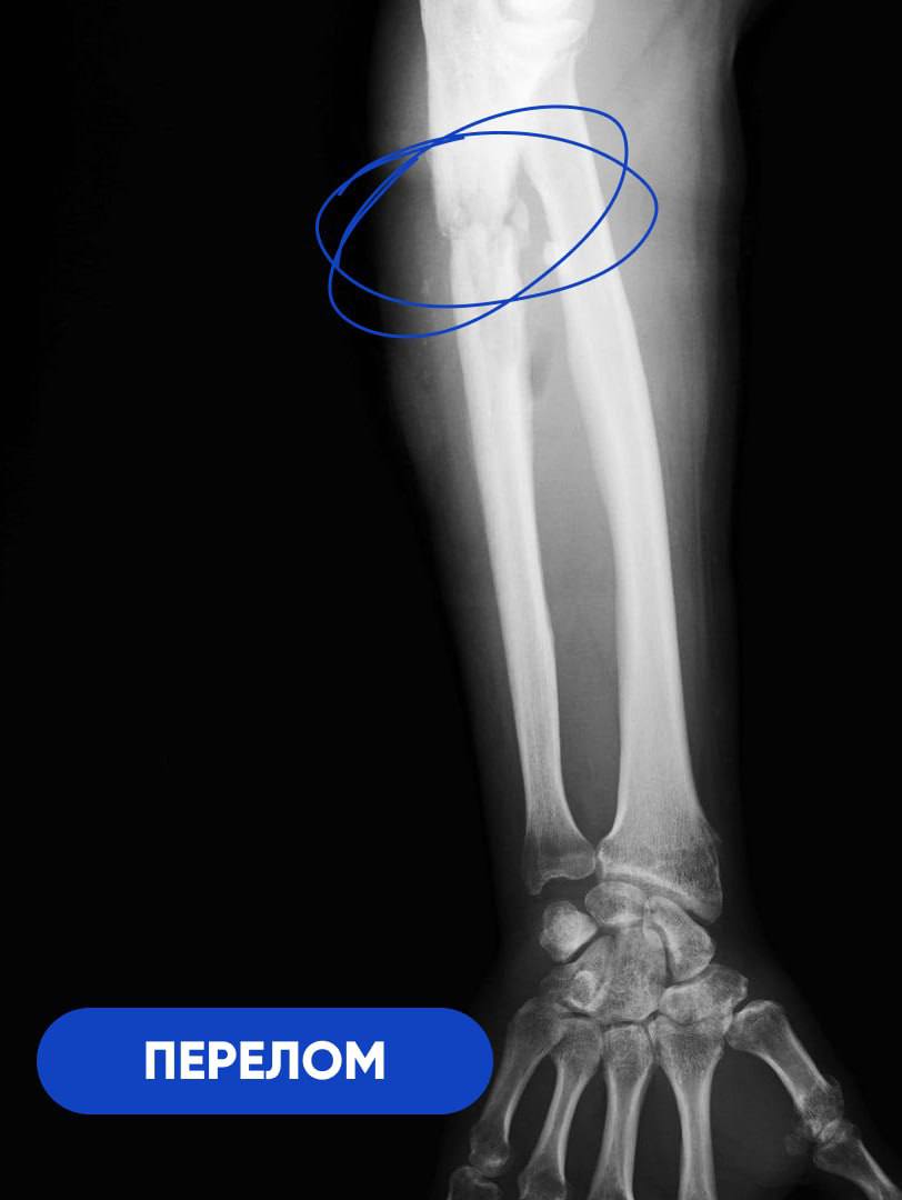
Несколько месяцев боли, гнойного воспаления и гипсовой иммобилизации. Результат – утратившая двигательные функции рука и ампутация в перспективе. К нашим травматологам-ортопедам 50-летний участник спецоперации обратился уже с тяжелой формой остеомиелита и большим костным дефектом. Лечение предстояло долгое и многоэтапное. Под руководством заведующего отделением травматологии и ортопедии №1 Сергея Глиняного был разработан четкий план действий, в том числе, на случай возможных осложнений.
-В первую очередь нам необходимо было справиться с инфекцией. При свищевом остеомиелите ждать результата от обычной антибактериальной терапии бессмысленно. Воспалительный процесс разрушил кость на участке длиной 8 сантиметров. Этот фрагмент подлежал удалению в пределах здоровых тканей. На его место установили спейсер из антибиотика и костного цемента. Мы изготовили его самостоятельно в условиях операционной, по собственной технологии и индивидуальным размерам. Имплантат выполнял двойную задачу. Во-первых, это источник антибиотика в непосредственном очаге заражения. Во-вторых,- механическая поддержка для кости за счёт своей армирующей функции, - объясняет Сергей Глиняный.
Благодаря профессионализму и смекалке врачей, ещё на этапе лечения остеомиелита пациент впервые вновь начал двигать рукой и приступил к её разработке. Спейсер, зафиксированный на участке недостающего костного фрагмента, создавал эффект целостности кости на протяжении всех двух месяцев антибактериальной терапии. Однако самый ответственный этап был впереди.
-После удаления временного имплантата мы пересадили в предплечье донорскую часть. Необходимые 8 сантиметров взяли из малоберцовой кости* и зафиксировали аутотрансплантат специальной накостной пластиной. Таким образом, весь запланированный объём хирургической работы был выполнен. Последняя операция прошла штатно. Но нужно понимать, что приживление костного блока – это сложный и длительный процесс, который сопровождается угрозой отторжения. Со своей стороны мы сделали всё от нас зависящее, чтобы этот период прошёл благополучно. Все управляемые риски нами учтены и сведены к минимуму, - отмечает Сергей Глиняный.
Врачи Сургутской травмбольницы в очередной раз доказали, что их знания и мастерство соответствуют уровню федеральных клиник. Сегодня они надеются на соответствующее поведение организма пациента, его дисциплинированность в выполнении всех рекомендаций и немного на удачу. После снятия швов мужчина выписан из больницы, но остаётся под постоянным наблюдением. Он также продолжает пользоваться конечностью с ограничением по нагрузкам.
*Голень состоит из двух костей – опорной большеберцовой и не опорной малоберцовой. Забор трансплантата из малоберцовой кости не повлияет на функцию ноги и качество жизни пациента.
