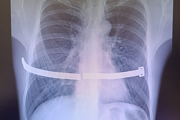
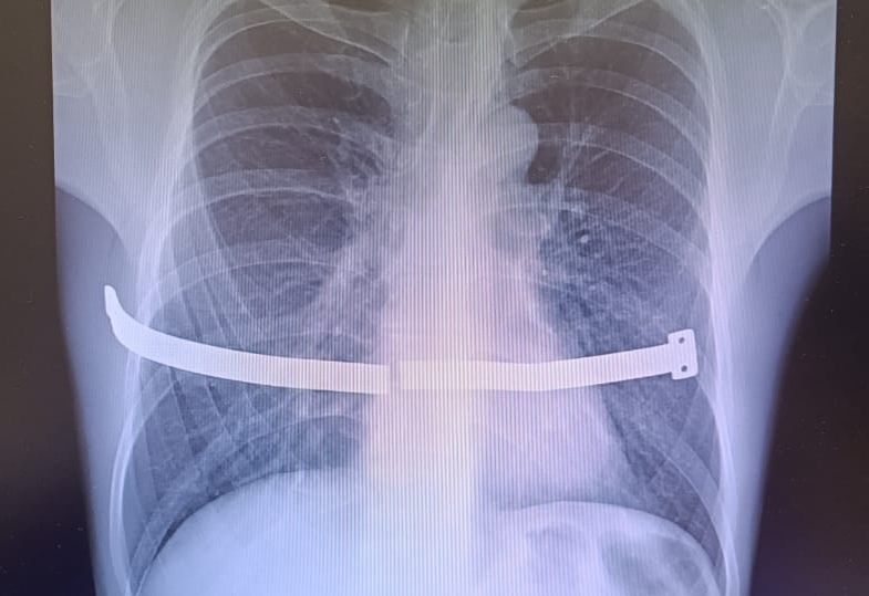
В хирургическое отделение Сургутской травмбольницы госпитализировали 33-летнего мужчину с отломками металлической пластины в грудной клетке. В своё время конструкцию ему установили для коррекции воронкообразной деформации груди. Устройство удаляют через 2-4 года. Как правило, этого периода достаточно для достижения эффекта. Но с операцией пациент не спешил, поскольку не испытывал никаких неудобств.
Пластину он носил 17 лет, пока та не разломилась пополам. Образовались острые и подвижные края. Один из них упирался в перикард – оболочку сердца. Из-за болевых ощущений мужчина вынужден был обратиться к врачам.
-После нарушения целостности пластины её отломки могут мигрировать в том или ином направлении, травмируя внутренние органы. В данном случае была угроза повреждения сердца. Чтобы не оказаться в опасности, пациентам следует строго соблюдать рекомендации врачей по срокам эксплуатации имплантируемых элементов. В клинической практике мы неоднократно сталкивались с подобными ситуациями. Например, один из пациентов почти пять лет жил с трахеальным стентом Дюмона, хотя удалить его нужно было через полгода после установки. За помощью мужчина обратился, когда уже стал задыхаться, - рассказывает заведующий хирургическим отделением Дмитрий Горлов.
Сегодня пациент всё-таки расстался с пластиной. Хирурги успешно извлекли её, несмотря на технические сложности. За многие годы металл уже сросся с костной тканью, пришлось частично резецировать ребро. На качество дальнейшей жизни это не повлияет.
Отметим, что операция по удалению пластины малотравматичная и не требует длительного пребывания в стационаре. Поэтому подвергать себя неоправданным рискам, избегая или отсрочивая её, нет никакого смысла.
