От базового скрининга до сложных углублённых исследований. Сегодняшнюю медицину просто невозможно представить без лучевой диагностики. Эти исследования лежат в основе как профилактических мероприятий, так и специализированной высокотехнологичной помощи. Ежегодно 8 ноября свой профессиональный праздник отмечают те, кто развивает это направление и делает его доступным для пациентов любого профиля. От рентгенологов и радиологов во многом зависят шансы на выздоровление человека и продолжительность жизни населения.
Сегодня в Сургутской травмбольнице трудятся 24 врача-рентгенолога и 31 рентген-лаборант. О том, насколько их знания и навыки незаменимы в условиях современной клиники, можно судить по объёмам выполняемой ими работы. С начала года эти специалисты провели более 105,5 тысяч рентген-диагностических и свыше 1 600 рентген-хирургических исследований, около 19 тысяч 700 компьютерных и 9 тысяч 900 магнитно-резонансных томографий.
Главный внештатный специалист Депздрава по лучевой и инструментальной диагностике, заведующая рентгеновским отделением №3 Сургутской травмбольницы Любовь Тарасенко отмечает, что наша рентген-команда обладает достойными знаниями в области медицинской физики. Без этого невозможно было бы использовать всё многообразие возможностей, заложенное в современном диагностическом оборудовании.
Рентгенологи постоянно изучают новые методы и технологии исследований, обеспечивая дальнейшее безопасное и эффективное лечение пациентов. Например, используя диффузно-тензорную томографию (трактографию) головного мозга, диагносты помогают нейрохирургам проложить маршрут операции так, чтобы не повредить важные пути и центры. Освоили наши специалисты и один из самых молодых методов лучевого исследования головного мозга - магнитно-резонансную спектроскопию, позволяющую определять химический состав опухолей и других патологических зон.
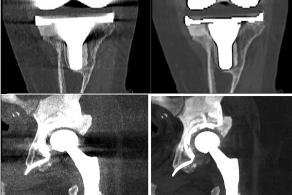
При исследованиях костно-мышечной системы рентгенологи травмбольницы увидят любое отклонение от нормы даже при наличии в организме металлических имплантатов - эндопротезов, пластин и т.д. Эти конструкции во время томографии дают сильное свечение или смазывают изображение. Такие проявления в диагностике называют артефактами. Они значительно затрудняют исследование. Но в клинике уже давно вооружились передовыми технологиями нивелирования артефактов и широко используют их в повседневной работе.
Достижения рентгенологической службы Сургутской травмбольницы и других медицинских центров Югры Любовь Тарасенко вместе с коллегами озвучит на ежегодном Всероссийском конгрессе рентгенологов и радиологов, который стартует в Санкт-Петербурге сегодня и продлится до конца недели.
