Как в кино. На видео в работе сургутских торакальных хирургов можно узнать действия главной героини фильма «Вызов». Как и в одном из самых волнительных эпизодов, реальный пациент во время операции тоже находится на однолёгочной вентиляции и дышит только здоровым лёгким.
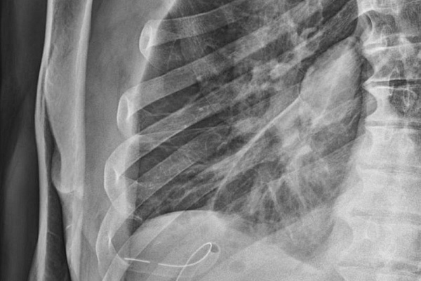
Правда, ситуации разные. Если с экрана нам рассказывают о последствиях травмы грудной клетки, то врачи травмбольницы имеют дело с грозным заболеванием, при котором плевральная полость заполняется гнойным содержимым. Из-за этого лёгкое сдавливается и не может полноценно участвовать в дыхательном процессе. Больные испытывают постоянную дыхательную недостаточность, у них развивается системная воспалительная реакция, интоксикационный синдром, в худшем случае – сепсис и полиорганная недостаточность.
Эмпиема плевры – вторичная патология, возникает как осложнение, в том числе, после вирусных и бактериальных пневмоний. За последние два года торакальные хирурги Сургутской травмбольницы внедрили и поставили на поток высокотехнологичную малоинвазивную методику оперативного лечения этого заболевания. Она пришла на смену тяжелым обширным вмешательствам на грудной клетке с длительным и сложным послеоперационным ведением больных.
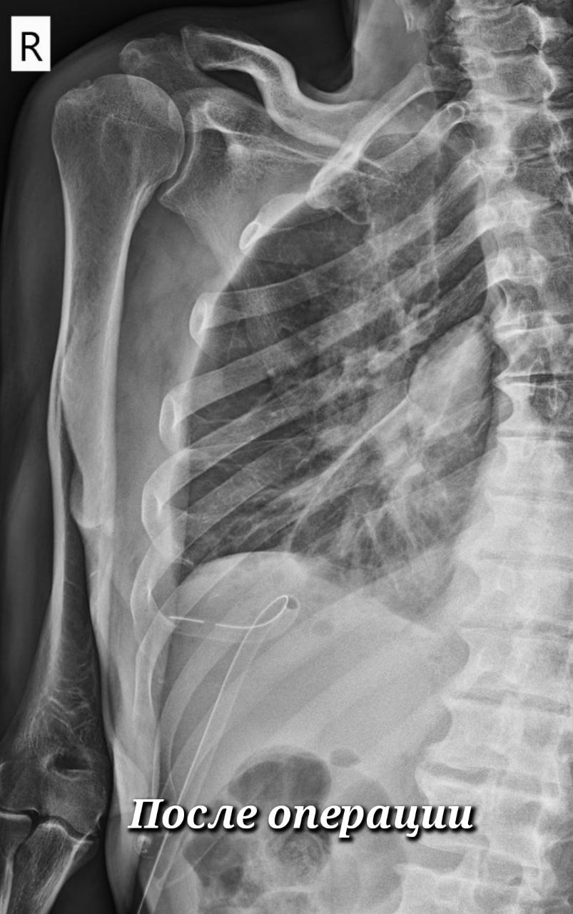
Торакоскопическая методика кропотливая и технически непростая. Через три разреза от 0,5 до 1 сантиметра хирурги специальным инструментом разрушают и удаляют всю патологическую ткань – гнойные полости, спайки, шварты, фибринозные наложения. Двигаться необходимо очень осторожно, чтобы не повредить лёгкое. Работа проводится при повышенной из-за воспаления кровоточивости, а на отдельных участках кратно усложняется множеством тонких и уязвимых сосудов.
-Во время операции наша задача избавиться от очага инфекции и затем проконтролировать, чтобы лёгкое расправилось и приняло своё анатомическое положение. Оно сразу включается в работу и начинает выполнять свою функцию. Послеоперационный период предполагает активное дренирование плевральной полости с периодическими санациями. В среднем лечение такого больного в стационаре сегодня занимает две недели. После открытых операций больные находились у нас по 2-3 месяца и даже после выписки до полугода оставались с множественными дренажами, - объясняет Ринат Рахметов, хирург окружного Центра торакальной хирургии на базе Сургутской травмбольницы.
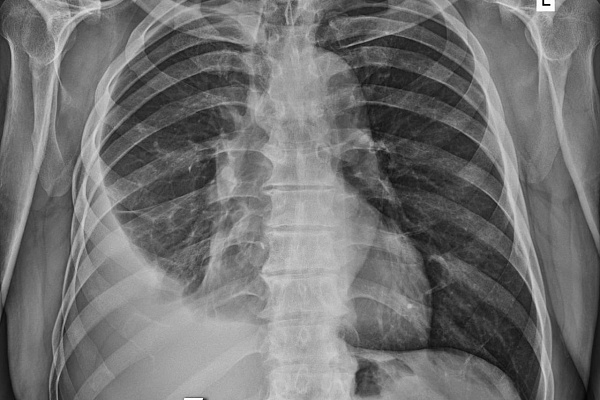
Очередная такая операция на днях успешно выполнена 68-летнему пациенту. Немногим раньше её благополучно перенесла 30-летняя женщина. Врачи отмечают, что эта категория больных разновозрастная. Многие пациенты не относятся к группам риска и имеют нормальный иммунитет. Это активные, работающие люди, которым важно быстрее вернуться в строй.
