Продолжается сезон строительных и ремонтных работ, а вместе с ним - период травм от электроинструмента. 34-летний Юрий за две недели перенёс уже вторую операцию на ноге. В категории дачной травмы его случай один из самых серьёзных, с которыми пришлось столкнуться нашим врачам нынешним летом.
Открытый перелом костей голени с повреждением магистральных сосудов конечности, а также нервов, сухожилий и мышечного массива; травматический шок. И всё это случилось буквально за мгновение. При отделке бани мужчина не удержал угловую шлифовальную машину, получив тяжёлую травму от вращающегося диска.
Главная угроза была связана с отсутствием нормального кровоснабжения дистальных отделов конечности, без которого довольно быстро начинаются необратимые изменения в тканях. Ситуация требует экстренного хирургического вмешательства – в первую очередь, по сохранению питающих конечность сосудов.
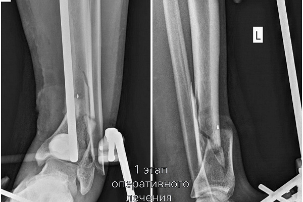
В экстренном порядке эффективно сработала команда опытных врачей травматологов-ортопедов Владимира Кельметра и Сергея Глиняного. На микрохирургическом этапе операции удалось восстановить целостность поврежденных сосудов и нервов. Кости голени зафиксировали с помощью модульной стрежневой системы.
Цель первого этапа хирургического лечения - жизнеспособность конечности – была достигнута. Цель второго этапа – опороспособность. К нему приступили, убедившись, что ранний послеоперационный период протекает благополучно, без осложнений.
-На втором этапе первично установленный стержневой аппарат демонтирован и выполнен окончательный остеосинтез аппаратом Илизарова. На сегодняшний день это самый надежный и управляемый вариант. Данный вид фиксации позволяет проводить раннюю реабилитацию и передвигаться с нагрузкой на поврежденную ногу. Послеоперационный период проходит спокойно, мужчине назначено комплексное восстановительное лечение, включающее физиотерапевтические процедуры и занятия ЛФК, - объясняет лечащий врач Юрия, травматолог-ортопед Артём Мещеряков, выполнивший второе вмешательство.
Сам пациент считает, что его история – из серии тех чужих ошибок, на которых нужно учиться другим. Поэтому охотно делится ею на видео, призывая соблюдать технику безопасности при работе с электроинструментами.
