Больше двух метров металлической микроспирали навсегда останутся в сосудах головного мозга нашего пациента. И это ещё не весь высокотехнологичный материал, который использовал для восстановления нормального кровоснабжения заведующий рентгенохирургическим отделением Сургутской травмбольницы Максим Бессмертных.
22-летний житель Кондинского района во время игры в футбол получил сильный удар в голову мячом. После этого у него воспалился левый глаз – появилось покраснение и экзофтальм (смещение глазного яблока вперед, выпячивание). Однако проблема оказалась не офтальмологического профиля. Молодого человека направили к нейрохирургам Сургутской травмбольницы. Во время обследования они обнаружили артериовенозную фистулу – патологическое соединение артерии и вены.
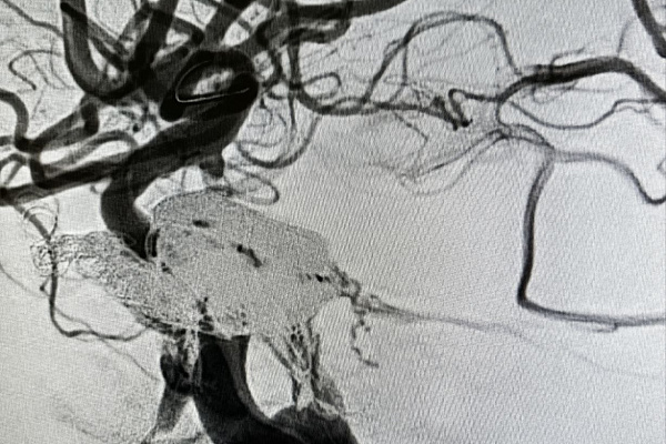
В норме потоки венозной и артериальной крови напрямую никогда не смешиваются, но из-за травмы произошел разрыв сонной артерии в кавернозном сегменте – на участке, где она плотно окружена венозным сплетением (венозным синусом). В результате, артериальная кровь хлынула в вену и начала мешать оттоку крови, в том числе, и от глаза. При этом, необходимые участки головного мозга она не питала, поскольку сразу уходила в венозное русло. Необратимых последствий удалось избежать только благодаря правой сонной артерии, которая справлялась с двойной нагрузкой и одна обеспечивала кровоснабжение всего головного мозга.
Чтобы исправить ситуацию, Максиму Бессмертных предстояло восстановить целостность поврежденной сонной артерии. Впервые в своей практике для лечения фистулы он использовал комбинацию двух видов эмболизирующего материала, сформировав новую стенку сосуда из специальной микроспирали и жидкого эмболизата. На создание каркаса в месте разрыва артерии ушло более двух метров спирали. Затем пространство между её завитками подобно монтажной пене заполнил композитный материал из биосовместимого полимера и порошка тантала.
Малоинвазивное рентгенэндоваскуляное вмешательство выполнялось без разрезов. Доступ всего инструментария и материала к «рабочей зоне» обеспечивался через два прокола - артерии в паховой области и яремной вены на шее. Как и любая операция на сосудах головного мозга, эта была сопряжена с высокими рисками, поэтому требовала ювелирной точности и предельной осторожности. Этим обусловлена её длительность – около пяти часов.
Рентгенохирург успешно провёл сложнейшую реконструкцию фрагмента левой сонной артерии и разделил потоки артериальной и венозной крови. Полноценное питание головного мозга возобновлено. С положительной динамикой пациент выписан под наблюдение.
