Не разговаривает, не двигается, не реагирует на окружающее – таким 60-летнего сургутянина увидела жена утром 31 декабря. Бригада скорой медицинской помощи доставила пациента в Сургутскую травмбольницу. Дежурившая в праздничный выходной невролог Татьяна Жиленок диагностировала ишемический инсульт и по специальной шкале оценила неврологический дефицит на 26 баллов. Это очень тяжелое состояние. Например, уже при 6-ти баллах пациентам экстренно проводят тромбоэкстракцию – механическое извлечение тромба из сосуда под рентген-контролем.
Обследование показало, что у пациента закупорен один из главных сосудов головного мозга – базилярная артерия. На фото №1 хорошо видно место, где резко обрывается кровоток. При тромбозе базилярной артерии летальность достигает 95%, а больше половины выживших обречены на глубокую инвалидность, вплоть до вегетативного состояния. Только при оказании своевременной и грамотной специализированной медицинской помощи появляются шансы на спасение. Пациента подняли в рентген-операционную, где заведующему отделением рентгенохирургических методов диагностики и лечения Максиму Бессмертных вместо планируемой одной операции пришлось в экстренном порядке выполнить сразу три.
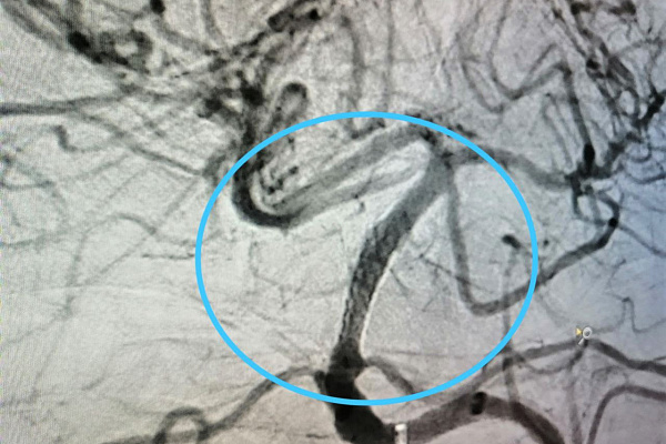
Специалист быстро удалил тромб. Но появившийся кровоток обозначил другую проблему – субокклюзию базилярной артерии. На участке длиной 8 миллиметров она представляла собой тонкую ниточку (фото №2). При таком сужении не только не возобновилось бы полноценное питание структур головного мозга, но и вновь образовался бы тромб. Причем, закупориваться просвет начал тут же, буквально на глазах рентгенохирурга.
Поэтому следующим этапом оперативного лечения стала ангиопластика. Для неё используется баллонный катетер. Он вводится в сосуд и расширяется под давлением, устраняя стеноз. Как правило, такой «продувки» достаточно для восстановления сосуда в диаметре. Но в данном случае это помогло ненадолго – стенки артерии снова спадались, возвращаясь в прежнее положение. Тогда Максим Бессмертных принял решение об интракраниальном стентировании. Эта операция – из разряда крайних мер. Стентирования внутричерепных артерий при их сужении стараются избегать до последнего из-за высоких рисков.
-В отличие от сосудов сердца, сосуды головы менее прочные, их легче повредить при установке стента. Поэтому вмешательство является опасным и очень редким. Например, в 2021 году, по данным главного рентгенохирурга страны Баграта Алекяна, в России выполнено всего 55 таких операций, а количество стентирований коронарных артерий превысило 328 тысяч. В Сургутской травмбольнице за прошлый год проведено всего два интракраниальных стентирования. И в обоих случаях это был единственный шанс спасти человеку жизнь и дееспособность, – отмечает Максим Бессмертных.
Сохранить эффект от успешно выполненной ювелирной операции (фото №3) предстояло анестезиологам-реаниматологам. С учётом индивидуальных особенностей пациента они сумели подобрать антиагрегантную и анитикоагулоянтную терапию, чтобы избежать дальнейшего тромбоза стента. Это естественная реакция организма на инородное тело в любом сосуде, которая блокируется соответствующими препаратами.
Сегодня мужчина продолжает лечение в палате интенсивной терапии, с ним работают неврологи и реабилитологи. Восстановление не будет быстрым. Однако врачи уже сейчас называют этот клинический случай уникальным и удивляются везению пациента. Его сосудистая патология и развившийся на момент поступления в больницу тяжелейший неврологический дефицит не позволяли надеяться на такой исход. Больной находится в ясном сознании, общается с медперсоналом и чётко формулирует мысли. Способность принимать сидячее положение и с помощью инструкторов-методистов ЛФК ходить по палате – тоже очень хороший, обнадёживающий показатель.
Тем не менее, риски повторения катастрофы сохраняются, предупреждают неврологи. Поэтому к выписке пациенту подготовят целый список рекомендаций. Изменение образа жизни и отказ от вредных привычек будут не последними пунктами.
На общем фото рядом с пациентом – заведующий отделением рентгенохирургических методов диагностики и лечения Максим Бессмернтных, заведующая неврологическом отделением для больных с острым нарушением мозгового кровообращения Светлана Платунова, врач-невролог Татьяна Жиленок.
