При любой погоде наши травматологи-ортопеды безошибочно распознают дыхание весны по стремлению югорчанок к обновлению. Традиционно в марте и апреле резко возрастает спрос на хирургические реконструкции переднего отдела стопы.
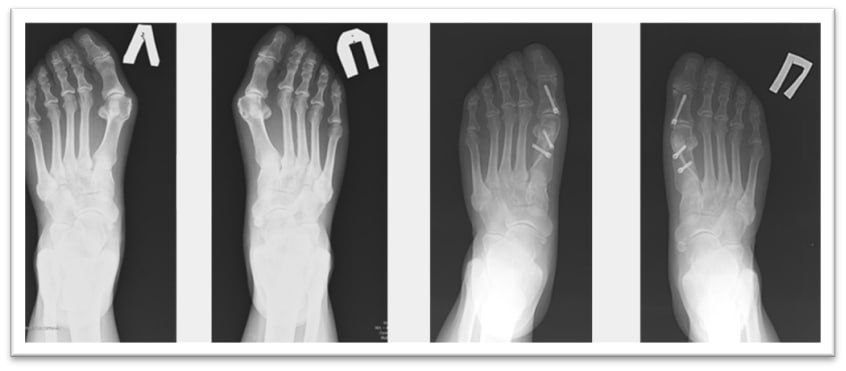
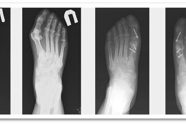
На языке обывателей «косточка» или «шишка», а в медицинской терминологии Hallux Valgus – преимущественно женская проблема. Решившиеся на операцию пациентки хотят порадоваться уже ближайшему сезону открытой обуви, поэтому предусмотрительно планируют лечение на начало весны, оставляя в запасе время для реабилитации.
В большинстве случаев сегодня уже не прибегают к гипсовой иммобилизации и костылям в раннем послеоперационном периоде. На следующие сутки после вмешательства пациентки начинают ходить в специальной обуви, которая должным образом распределяет нагрузку на стопу (ботинки Барука). Тем не менее, полное восстановление занимает 1,5-2 месяца.
Врачи Сургутской травмбольницы владеют всеми современными реконструктивными методиками, которые дают устойчивый результат и практически исключают возможность рецидива. Разумеется, при условии строгого соблюдения пациентами всех рекомендаций.
-Высокотехнологичные фиксирующие элементы не требуют удаления и не доставляют неудобств в дальнейшем. Они не мешают таким исследованиям, как МРТ, на них не реагируют рамки досмотра и металлоискатели. Имеющаяся линейка винтов позволяет выполнять фиксацию при самых сложных деформациях. Причем, даже пожилым женщинам с хрупкими, пораженными остеопорозом костями. Например, недавно мы успешно избавили от запущенной проблемы 76-летнюю пациентку. Ей провели 11 корригирующих остеотомий в ходе одной операции. Такой большой объём вмешательства обусловлен деформацией всех пальцев стопы и необходимостью вернуть каждый в правильное анатомическое положение, - объясняет заведующий отделением травматологии и ортопедии №1 Сергей Глиняный.
Цель таких операций – повысить качество жизни пациенток. К сожалению, Hallux Valgus – это не только некрасиво. Болезнь сопровождается воспалением суставов и стойким болевым синдромом, а со временем на её фоне нарушается походка, появляются боли в коленях и спине. Консервативные методы – массажи, гимнастика, ортопедические стельки – способны лишь замедлить патологический процесс. Но без хирургического лечения ни комфорт, ни прежний вид стопы вернуть невозможно.
В условиях возрастающей потребности реконструктивные операции при Hallux Valgus выполняют уже в трёх наших травматолого-ортопедических отделениях из пяти. Отбор пациенток проводится на консультативных приёмах в многопрофильной поликлинике Сургутской травмбольницы по предварительной записи через регистратуру по телефону 8 (3462)58-92-22.
