С редким последствием травмы грудной клетки к нам поступил 59-летний пациент из Советского. Мужчина пострадал на производстве. У него диагностировали перелом семи рёбер. Большинство из них срослись самостоятельно - благодаря плотному окружению мышечной ткани, выполняющей роль каркаса и препятствующей смещению отломков.
Однако два левых ребра этой естественной фиксации были лишены. При травме произошел разрыв межрёберных мышц. Это привело к образованию ложных суставов и посттравматической лёгочной грыже. Состояние сопровождалось выраженным болевым синдромом при дыхании и любом движении.
Пациент нуждался в оперативном лечении. На территории Югры вмешательства такого уровня выполняют только в Сургутской травмбольнице.
Операция проходила под видеоконтролем, с комбинированным доступом и при участии мультидисциплинарной бригады опытных врачей. За одним операционным столом совместно работали торакальные хирурги и травматолог-ортопед.
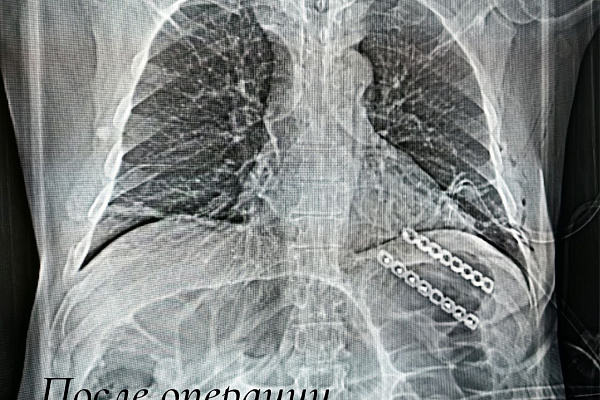
Сначала посредством малоинвазивного торакоскопического доступа выполнили пластику грыжи и вернули лёгочную ткань обратно в плевральную полость. Затем понадобился открытый доступ к месту перелома, чтобы устранить дефект рёбер. Их зафиксировали методом накостного остеосинтеза. Специальные пластины будут удерживать ребра в правильном положении, создавая условия для скорейшего сращения. Удалять конструкцию не потребуется. Восстановление пациента в раннем послеоперационном периоде прошло благополучно, сегодня он наблюдается амбулаторно.
Операцию выполнили:
-главный торакальный хирург Югры, заведующий хирургическим отделением Дмитрий Горлов,
-заведующий травматолого-ортопедическим отделением N1 Сергей Глиняный,
-врач-хирург Евгений Николаев.
-Однолегочную вентиляцию обеспечил анестезиолог-реаниматолог Виталий Реннер.
